Lactaat en glucose meting met de YSI 2950 in onderzoek naar alvleesklier kanker

“Lactaat en glucose meting met de YSI 2950 in onderzoek naar alvleesklier kanker.”


Histology depicting tumour remnants (X10).

KRas-expressing tumour                        Tumour after KRas ablation
Kras-resistant 200x





'One approach for treatment involves targeting oncogene-driven signalling pathways and this has had some success in other equally devastating diseases. However, with PDAC, despite some success in shrinking the tumours themselves, the relapse frequency rate indicates that a significant fraction of tumour cells are surviving the shut-down of their oncogene-driven signalling pathways. An important paper published in the prestigious journal Nature has recently illustrated how scientists are making full use of the YSI 2950 in their investigation of these surviving cells. Specifically the metabolic activity of those cells that survived the ‘oncogene ablation’ was analysed using the YSI 2950. Measured numbers of these dormant tumour cells were plated out, in triplicate, in a 96-well plate in 200 ml of complete steam cell medium. After 24 hours incubation the medium was analysed for lactate and glucose levels with the YSI 2950, using unconditioned medium as a reference. This analysis contributed to the important finding that these surviving cells have a decreased reliance on glycolysis for cellular energetic and stronger reliance on mitochondrial respiration. This makes them sensitive to oxidative phosphorylation inhibitors, which means that these then become a possible treatment to prevent tumour recurrence.


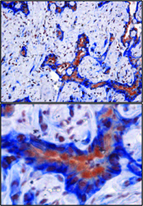
Immunohistochemistry of 2KRas tumours
for CD44 (blue) and CD133 (red) (X20–40).

Kras-resistant 2 200x














The speed accuracy and reliability of the YSI 2950 Biochemical Analyser is exactly appropriate for this level of research. “ Labface.com 7 October 2014

See the published Letter
Oncogene ablation-resistant pancreatic cancer cells depend on mitochondrial function


Authors: Written by an international collaboration of Cancer Research Centres, and listed in published letter.


Biochemie analyzer YSI 2950

Eenvoudig en snel naar nauwkeurige resultaten!!